Эстетическая коррекция улыбки с помощью керамических виниров
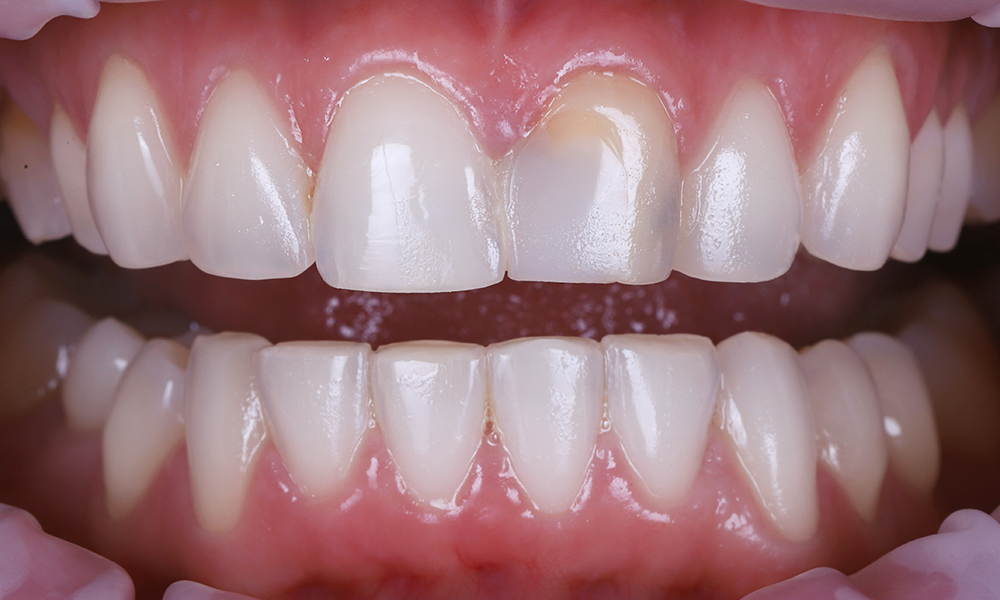
Пациентка обратилась в нашу клинику с целью исправить потемнение центрального резца и кардинально улучшить эстетику улыбки. Её главная задача — получить яркую, ровную и гармоничную улыбку желаемого оттенка.
Проведённая работа по установке керамических виниров:
Для достижения качественного результата наши специалисты изготовили и установили 24 керамических винира и коронку на имплантате. Такая комплексная реставрация позволила создать безупречно ровный и сияющий зубной ряд, полностью соответствующий форме лица пациента.
Результат эстетической реставрации:
- Полное преображение улыбки
- Идеальная форма и ровность зубов
- Белизна и естественный блеск
Теперь улыбка пациента выглядит естественно, придаёт уверенности и гармонично подчёркивает черты лица.

Почему выбирают нас для установки керамических виниров:
- Используем только современные керамические материалы премиального качества
- Каждый этап работы подробно объясняются пациенту, чтобы вы чувствовали себя уверенно
- Команда опытных врачей — стоматолог-ортопед и терапевт — работают с максимальной точностью и вниманием к деталям
- Современное оборудование позволяет достигать идеальной эстетики улыбки быстро и безопасно
Желаете преобразить свою улыбку с помощью керамических виниров? Запишитесь на консультацию в нашу клинику и получите индивидуальный план реставрации вашей улыбки!




