
Терапевтическая стоматология

Информация
Терапевтическая стоматология — это основа лечения заболеваний полости рта. Стоматолог-терапевт ведет консультативный прием, профилактический осмотр, диагностирует и проводит лечение, а также дает направление к специалистам более узкого профиля.
Целью терапевтической стоматологии является:
- раннее выявление патологических изменений;
- максимальное сохранение зубов и окружающих тканей;
- снижение риска развития осложнений.
Своевременное обращение пациента за стоматологической помощью позволяет в большинстве случаев решить проблему консервативно. Использование новейших разработок, а также высокотехнологичного оборудования в практической деятельности делает нашу клинику одним из крупнейших стоматологических центров Беларуси. Благодаря высокому профессионализму наших специалистов пациенты избавляются от большинства стоматологических проблем.
Как проходит консультация?
Алгоритм консультативного приема специалиста в нашей клинике включает:
- сбор анамнеза, выслушивание жалоб пациента, формирование первичного представления об имеющейся проблеме;
- осмотр зубов и десен;
- оценка гигиенического состояния;
- рентген-диагностику (КТ-снимок).
Собрав и проанализировав полученную информацию, стоматолог-терапевт выставляет диагноз и определяет тактику ведения пациента.
Сфера деятельности врача-стоматолога-терапевта
Терапевтическая стоматология охватывает перечень патологических состояний, среди которых:
- кариозное поражение;
- патологии некариозного происхождения;
- болезни корневых каналов;
- воспаление тканей пародонта;
- воспалительный процесс слизистой оболочки ротовой полости.
Кроме того, терапевтическая стоматология включает такие услуги, как профессиональная гигиена полости рта и отбеливание зубов.
К стоматологу-терапевту обращаются пациенты со следующими симптомами:
- болевой синдром;
- возникновение либо повышение чувствительности зубов;
- симптомы воспаления слизистой оболочки ротовой полости;
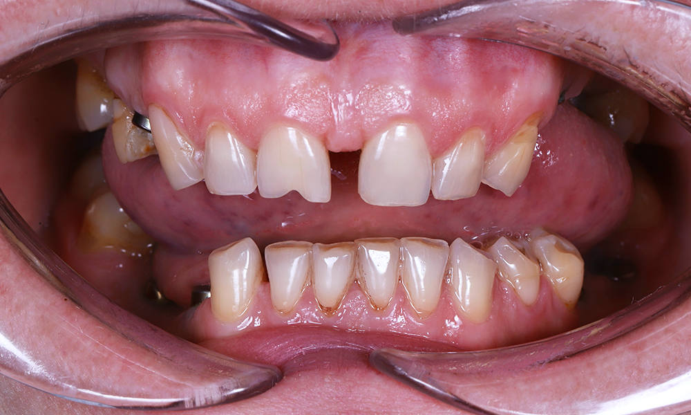
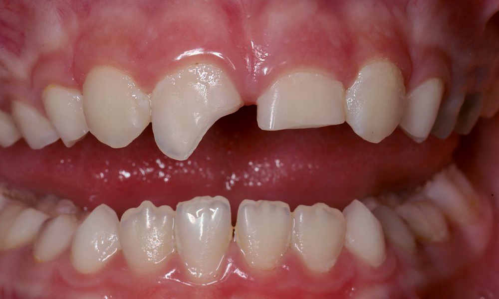
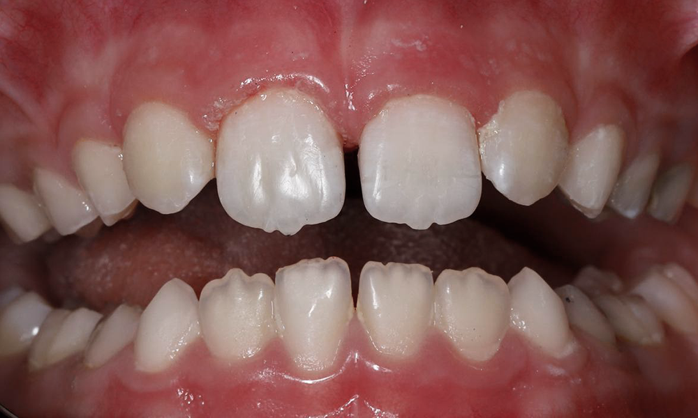
- наличие сколов, пятен и иных косметических дефектов.
За каждым симптомом скрывается причина, выявление и устранение которой позволяет избавиться от болезненных ощущений и вернуть комфортное состояние.
Стоматологическая проблема №1
Кариес является наиболее частой причиной, по которой обращаются за стоматологической помощью. Заболевание характеризуется постепенным разрушением тканей зуба с формированием полостных дефектов. Как правило, яркой клинической картины на ранней стадии не наблюдается. Симптоматика развивается, когда процент поражения тканей значительный. Кроме того, распространение патологического процесса на окружающие ткани обусловливает такие осложнения, как пульпит и периодонтит. Задача стоматолога-терапевта – обнаружить кариес на стадии пятна и провести реминерализацию зубов либо санацию имеющейся полости с последующим восстановлением дефекта пломбировочными материалами.
Возможности терапевтической стоматологии в клинике STOMARUS
Во время проведения профилактического осмотра наши специалисты диагностируют заболевания на этапе первых проявлений, а также осуществляют контроль текущего состояния полости рта.
Внедрение новейших методик в практическую деятельность позволило вывести стоматологическое лечение в нашей клинике на новый уровень. В перечень терапевтических услуг включены:
- лечение под микроскопом;
- лечение клиновидных дефектов;
- художественная и эстетическая реставрация зубов.
Кроме того, в клинике проводится процедура отбеливания зубов системой Beyond Polus, набирающей популярность среди пациентов.
Выявление и лечение заболевания на ранней стадии гораздо легче и эффективнее устранения последствий и осложнений. Поэтому рекомендовано раз в полгода посещать стоматолога-терапевта даже в отсутствие клинических симптомов. Кроме того, на приеме Вы можете дополнительно получить рекомендации по домашнему уходу за полостью рта.
Многолетний опыт, непрерывное совершенствование теоретических знаний и практических навыков, а также командный подход в терапии различных клинических случаев выделяют нашу клинику и обусловливают выбор пациентов. Обращаясь в STOMARUS, Вы обретаете не только здоровую и привлекательную улыбку, но и существенно улучшаете качество Вашей жизни.
Цены терапевтического лечения
Записаться на лечение к врачу-стоматологу-терапевту

Специалисты данного направления
Свержинская Наталия Владимировна

Рогожина Екатерина Владимировна

Герасимчук Елена Александровна

Алейникова Екатерина Владимировна

Ракович Ольга Николаевна

Пулко Любовь Николаевна

Макеева Наталья Васильевна

Портфолио






























Отзывы
Анастезиолог Савенок все рассказала перед приемом и ввели меня в наркоз так, что я даже и не понял в какой момент отключился. Выход из наркоза был легким, не смотря на жуткие рассказы знакомых.
Хирург Ахремко сделала свою работу изумительно! Предупредила после процедуры что возможно будет болеть и появится оттек. Но боли и оттека не последовало.
Красотка терапевт Рогожина так же шикарно сделала свою работу! На осмотре все показала и рассказала. На лечении все пломбы хорошо поставила, а на повторном приеме быстренько заполировала пломбы для моего удобства и ответила на интересующие меня вопросы.
Приду ли я еще? Однозначно да!
Так же хочется отметить , что врач терапевт заметила начинающиеся проблемы , хотя в другом месте их пропустили, а значит это дает возможность их устранить , пока все не успело перейти на более серьезную стадию .
Отдельная благодарность прекрасному специалисту Рогожиной Екатерине Владимировне. В данной клинике мне помогли справиться со страхом из детства - страх стоматологов!
Поздравляю Вас с профессиональным праздником- ДНЕМ МЕДИЦИНСКОГО РАБОТНИКА! Желаю успехов и высочайших достижений в самой благородной профессии человечества! Продолжайте дарить людям радость жизни, возвращая им здоровье, оставайтесь такими же милосердными и отзывчивыми людьми. Желаю, чтобы ваши надежды и мечты сбывались. Чтобы радость от занятия любимым делом приносила вдохновение и стимул. Чтобы каждый рабочий день был шагом в сторону профессионального роста и развития. Будьте счастливы, здоровы и успешны!

























