
Протезирование зубов в Минске

Информация
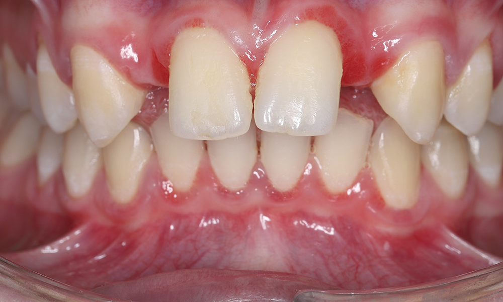
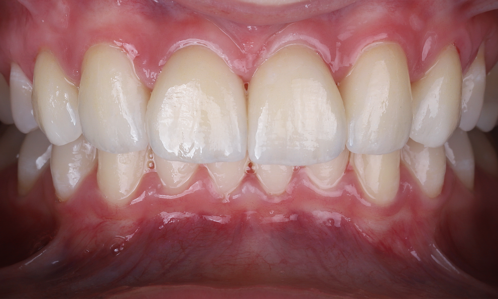
Утрата зубов или их серьезное разрушение — это проблема, которая затрагивает не только эстетику улыбки, но и здоровье всей зубочелюстной системы. Нарушение жевательной функции ведет к проблемам с пищеварением. При этом отсутствие даже одного зуба запускает цепную реакцию: соседние зубы смещаются, прикус нарушается, костная ткань атрофируется. Современное протезирование зубов — это не просто маскировка дефектов, а комплексное восстановление анатомии, функциональности и красоты ваших зубов. В клинике STOMARUS мы практикуем передовые методы несъемного протезирования. При этом используем материалы высочайшего качества и цифровые технологии, чтобы вернуть вам возможность улыбаться без стеснения и наслаждаться любимой пищей с комфортом и уверенностью.
Что такое протезирование зубов
Стоматология протезирования зубов или стоматологическая ортопедия занимается восстановлением разрушенных или полностью утраченных зубных единиц с помощью искусственных конструкций — протезов. Главная цель ортопедического лечения — нормализовать жевательную функцию, предотвратить дальнейшую деформацию зубного ряда и воссоздать естественную эстетику улыбки.
Современные ортопедические конструкции изготавливаются индивидуально для каждого пациента, идеально повторяя анатомическую форму и цвет натуральных зубов.
В каких случаях требуется протезирование
Обратиться за консультацией к стоматологу-ортопеду необходимо в определенных ситуациях.
- Значительное разрушение коронковой части зуба (более 50%) вследствие кариеса, травмы или старых несостоятельных пломб.
- Полное отсутствие одного или нескольких зубов.
- Патологическая стираемость эмали.
- Наличие эстетических дефектов: щели между зубами (тремы, диастемы), сколы, неправильная форма или постоянное изменение цвета зубов, не поддающееся отбеливанию.
- Неудовлетворительная фиксация или износ старых ортопедических конструкций.
- Заболевания пародонта, приведшие к подвижности зубов (в этом случае протезирование считается частью комплексного лечения для шинирования).
На первичной консультации в STOMARUS врач проведет осмотр, направит на необходимую диагностику (например, компьютерную томографию) и определит, какой метод стоматологического протезирования зубов будет оптимальным в вашем случае.
Виды протезирования
Протезирование бывает съемным и несъемным. В нашей клинике в Минске мы занимаемся только несъемным протезированием: установкой коронок, виниров, мостовидных протезов и протезов по системе all-on-4, all-on-6.
Совет врача

Азаров Виталий Викторович
Несъемные протезы
Коронки – это несъемные конструкции, которые устанавливаются на подготовленный зуб или на имплантат и используются для восстановления анатомической формы и функций зубочелюстной системы. Есть множество материалов, из которых они изготавливаются. В нашей клинике в Минске мы работаем только с безметалловыми керамическими конструкциями.
Они обеспечивают отличную эстетику, высокую биосовместимость, гипоаллергенность и прочность, что важно для многих пациентов.
Показания
Коронку устанавливают, если зуб:
- разрушен на 50% и более;
- после эндодонтического лечения;
- будет опорой для мостовидного протеза;
Противопоказания:
- Сильно разрушенный (ниже уровня десны) и очень подвижный зуб.
- Воспалительные изменения на верхушках корней.
Плюсы:
- Восстановление жевательной функции.
- Восстановление эстетики.
- Возможность сохранить разрушенный зуб.
Минусы:
- Зуб нужно препарировать, иногда удалять нерв.
Мостовидный протез
Мостовидный протез – это несъемная конструкция с опорой на зубы или имплантаты, которая изготавливается из различных материалов и используется для восстановления одного или нескольких зубов. Мы работаем как с безметалловыми мостовидными протезами.
Показания:
- Отсутствие одного или нескольких зубов подряд.
- Противопоказания к установке имплантатов.
Противопоказания:
- Отсутствие 4 и более зубов подряд.
- Гингивит, пародонтит, пародонтоз.
Плюсы:
- Быстрая адаптация.
- Эстетичность.
- Биосовместимость.
- Долговечность.
- Прочность.
- Более доступная цена протеза по сравнению с протезированием коронками на имплантах.
Минусы:
- Необходимо препарировать зубы, которые служат опорой.
Виниры
Это тонкие пластины из прочных материалов, которые закрепляются на передней поверхности эмали.
Показания:
- Скол или трещина на эмали.
- Тремы и диастемы.
- Клиновидные дефекты.
- Потемнение эмали.
- Неэстетичные реставрации в зоне улыбки.
- Десневая улыбка.
Противопоказания:
- Бруксизм.
- Большие дефекты зубного ряда.
- Пульпит, пародонтоз, пародонтит.
Плюсы:
- Виниры выглядят натурально.
- Материалы гипоаллергенны.
- Установка виниров не требует депульпирования или сильного препарирования зубов.
- Устойчивость к пищевым красителям.
- Долгий срок службы.
Важно помнить, что перед тем, как сделать визуальную эстетику, необходимо решить вопросы с функционалом зубочелюстной системы. Не стоит ставить виниры, если отсутствуют моляры. Рекомендуется сначала провести протезирование в функционально значимой зоне, а потом заняться эстетикой улыбки.
Поэтому важно в первую очередь записаться на консультацию и пройти диагностику. На этом этапе врач выявит все проблемы и составит план лечения.
Несъемный зубной протез на имплантатах
Несъемный протез по системе all-on-4 или all-on-6 крепится на 4 или 6 имплантатах и заменяет все зубы на челюсти. Мы используем прочные материалы – титановые имплантаты и фиксируем на них безметалловые протезы для максимального комфорта и безопасности.
Показания:
- Полная или частичная адентия.
- Большое количество разрушенных или пораженных кариесом зубов, которые невозможно вылечить.
- Противопоказание к проведению костной пластики.
- Плохая фиксация съемных протезов и их выпадение при приеме пищи или разговоре.
- Необходимость в быстрые сроки восстановить функциональность и эстетику зубного ряда.
Противопоказания:
- Воспалительные процессы в полости рта.
- Хронические заболевания: нарушения работы иммунитета, нервной, дыхательной систем, свертываемости крови.
Плюсы:
- Быстрое восстановление всего зубного ряда.
- Надежная фиксация.
- Равномерное распределение жевательной нагрузки, исключая атрофию костной ткани.
- Долговечность.
Съемные протезы
Съемный протез – недорогой и устаревший вариант. Протезы могут быть частичными или полными.
Минусы:
- Возможно нарушение вкусовой чувствительности и речи.
- Сложно использовать при сильной атрофии кости.
- Нет надежной фиксации.
- Иногда возникает аллергия на пластмассу, из которой изготавливаются съемные протезы.
- Съемные протезы часто ломаются и требуют замены.
- Долгая адаптация.
Наши врачи в Минске специализируются на несъемном протезировании, так как это надежно, комфортно и долговечно. Запишитесь на консультацию, чтобы узнать, какой способ протезирования подходит именно вам.
Оставьте номер телефона, и мы подберем для вас удобное время консультации. Или позвоните нам по номеру +375 29 364-09-09. Мы расскажем вам о стоимости различных видов протезирования и ответим на все ваши вопросы.
Цены на протезирование зубов
Хочу получить консультацию ортопеда

Этапы несъемного протезирования
В первые 2-3 дня после несъемного протезирования – установки коронки или мостовидного протеза – может ощущаться дискомфорт в месте хирургического вмешательства. Это нормальная реакция организма в период восстановления.
Осложнения при длительном отсутствии зубов
Длительное отсутствие даже одного зуба может привести к осложнениям и увеличению времени и стоимости протезирования.
Если зуба нет, то:
- Изнашиваются соседние. Это происходит за счет повышенной нагрузки на них: растет риск стираемости эмали, появления сколов и трещин.
- Нарушается прикус. Начинается смещение соседних зубных единиц, нарушение их правильного смыкания. Это может привести к проблемам с височно-нижнечелюстным суставом (ВНЧС).
- Происходит атрофия костной ткани. Участок челюстной кости, на котором нет зуба, начинает истончаться и убывать. При сильной атрофии перед установкой имплантата может понадобиться синус-лифтинг или костная пластика.
- Изменяется эстетика лица. Из-за неправильного прикуса могут опускаться уголки губ, западать губы и щеки, подбородок может сместиться вперед или назад.
Если долго отсутствуют несколько зубов, все эти осложнения могут развиваться быстрее и обширнее.
Записаться на консультацию по протезированию и диагностику
Чтобы записаться в нашу клинику в Минске, позвоните нам +375 29 364-09-09. Или оставьте свой номер телефона – мы перезвоним вам и подберем удобное время.
Специалисты данного направления
Азаров Виталий Викторович

Молчанов Виктор Александрович

Санкевич Владимир Иванович

Букач Алексей Вячеславович

Портфолио


















































































































Отзывы
Так же отмечу вежливый и доброжелательный персонал центра. Обслуживание на высоком уровне, рекомендую
Лечилась в «Стомарусе» и осталась очень довольна. Долго искала хорошую клинику, где можно было бы провести имплантацию и протезирование. Огромная благодарность врачам, которые со мной работали: Азарову В.В и Воробьеву А.И. за внимательность, чуткость и золотые руки. Все объясняли на каждом этапе, поэтому было совсем не страшно. В клинике современное оборудование, уютная атмосфера и доброжелательный персонал. Огромная благодарность администратору Ольге за внимательность, деликатность и понимание. С ее помощью лечение было расписано очень правильно и понятно. Ценю такой индивидуальный подход и высокое качество работы.
Мои новые зубы выглядят просто великолепно, улыбка голивудская…Была проделана огромная работа. Обязательно вернусь на проф осмотр. Клинику рекомендую!!!Врачи и медсестры замечательные, внимательный персонал. Спасибо за Ваш труд, Вы делаете людей счастливыми!!!
После многолетних мучений я решилась на комплексную операцию: удаление, синус-лифтинг и установку имплантов на обе челюсти. 30.11.2025 доктор Нарымов провёл всё блестяще: подробная консультация, безукоризненная хирургия и быстрое восстановление без синяков и с минимальным отёком. Это врач с золотыми руками!
Доктор Молчанов создал для меня идеальные зубы, о которых я мечтала. 09.12.2025 я была уже с новой улыбкой. Профессионализм на каждом этапе!
Отдельное спасибо всему коллективу STOMARUS. Жалею, что не пришла сюда раньше. Всем рекомендую без колебаний!
Благодаря современным методам диагностики и технологиям в новой семейной клиники Stomarus решение в лечении моего бруксизма найдено и будет 'обезврежено'!
Вопросы и ответы
Несъемные протезы, как и свои зубы, нужно чистить 2 раза в день щеткой и пастой, пользоваться зубной нитью. Рекомендуется раз в полгода приходить на осмотр к своему ортопеду, а также регулярно делать профессиональную гигиену полости рта.
Нет, стоматолог-ортопед установит вам временную конструкцию, которая будет выполнять эстетическую функцию. Это особенно важно, когда протезирование нужно в зоне улыбки.
В редких случаях можно установить виниры без препарирования. Как правило, незначительное сошлифовывание нужно, чтобы изготовить винир подходящих формы и цвета. Коронка же устанавливается, если зуб уже разрушен и здесь в любом случае нужно препарирование.
Если коронка установлена правильно, она защищает ткани зуба. Конструкция из прочного материала герметично прилегает к ним и не дает портиться.









