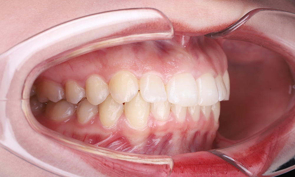
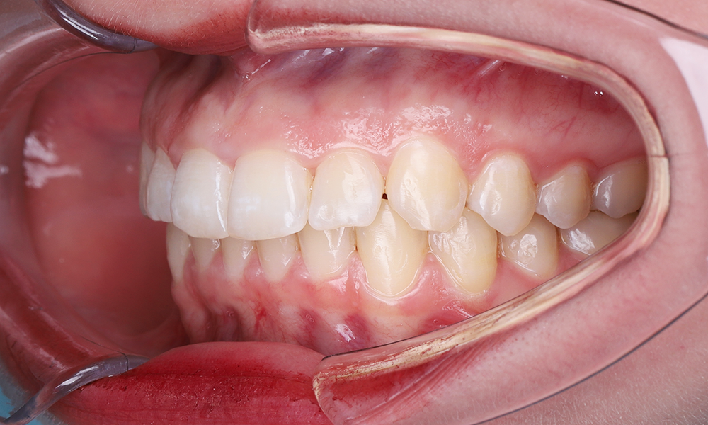
Исправление прикуса элайнерами
Красивая и здоровая улыбка формируется, когда учтены все детали
Что было сделано:
Создание пространства для зуба 1.2. Это возможно благодаря бережному перемещению зубов в боковом сегменте.
Восстановление симметрии. Выполняется коррекция центральной линии. Это основа эстетически правильной улыбки.
Налаживание контактов. Формируется правильное смыкание зубов (окклюзионные контакты) справа для равномерного распределения жевательной нагрузки.
Нормализация положения зубов. Проводится выравнивание отдельных зубов и формирование правильной формы зубных дуг.
Всё лечение заняло около 1,5 года.












