Исправление прикуса и эстетики улыбки
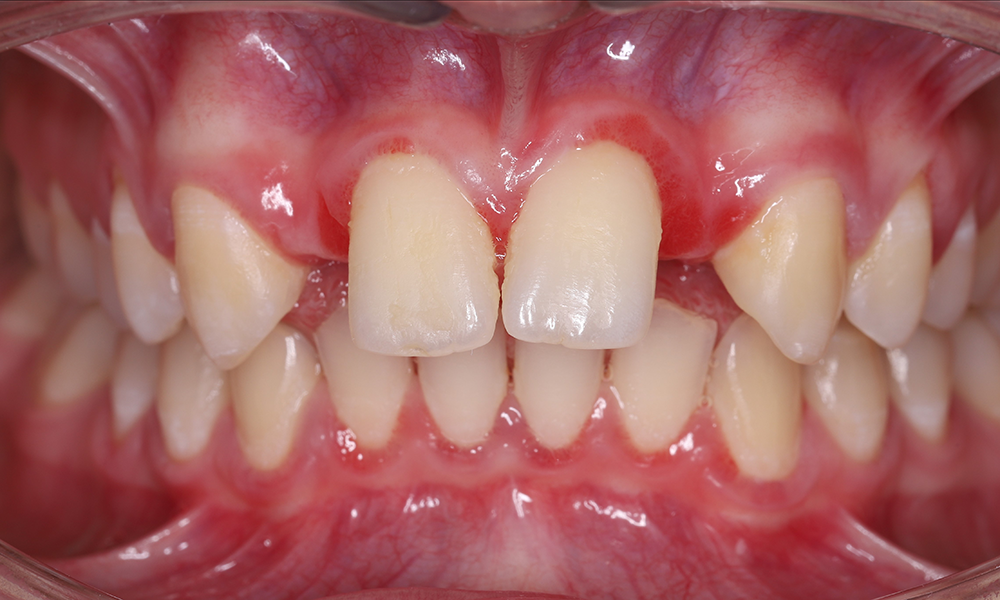
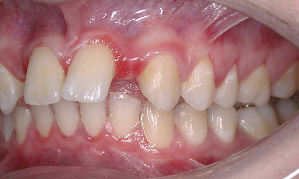
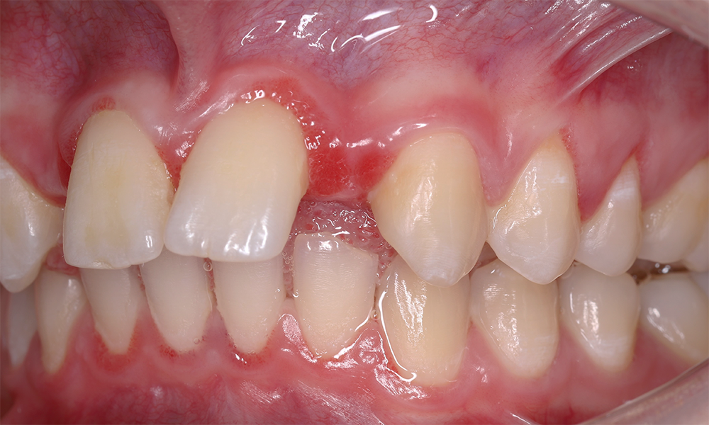
Пациентка обратилась к нам в клинику, чтобы сделать улыбку красивой и гармоничной. Изначально у нее отсутствовали боковые резцы. Для имплантации в этой зоне не было достаточного пространства, поэтому команда врачей выбрала другой путь.
Сначала провели ортодонтическое лечение — аккуратно переместили клыки на место отсутствующих резцов, сформировав правильную позицию зубов и прикус.
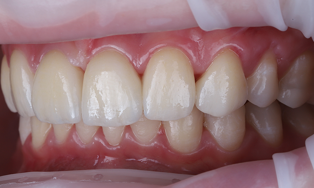
После этого с помощью коронок и виниров мы скорректировали форму зубов и создали гармоничную, естественную улыбку.
Результат — функционально стабильная и эстетически сбалансированная улыбка без лишних хирургических вмешательств.










