Комплексная реабилитация улыбки пациента
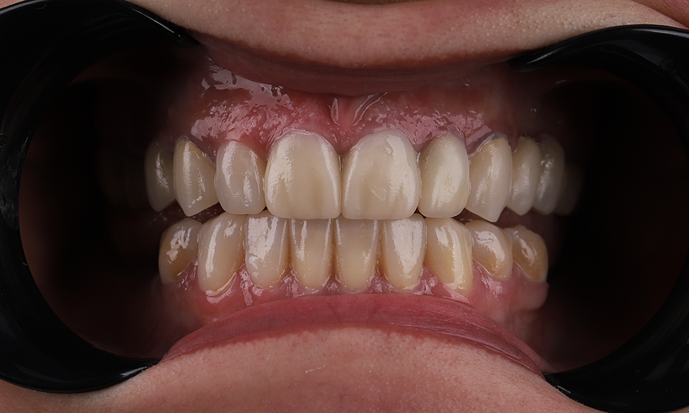
До
После
Пациентка хотела улучшить эстетику улыбки и восстановить отсутствующие и нефункциональные зубы. А также сделать улыбку белее.
Как мы этого добились:
- провели диагностику;
- составили последовательный план лечения;
- установили 8 классических имплантатов straumann;
- вернули естественную улыбку керамическими винирами и коронками.
Стоматолог-ортопед вместе с пациенткой выбрали подходящий цвет реставраций, который гармонирует с цветотипом и внешностью пациентки. И теперь ее улыбка здоровая и красивая.










