Коррекция нарушений прикуса с помощью лигатурной брекет-системы
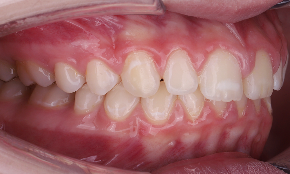
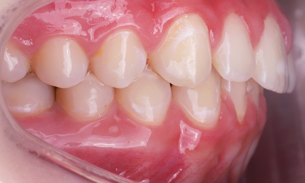
Пациентка была направлена детским стоматологом для коррекции нарушений прикуса.
Ранее у нее был травмирован один из передних зубов. После диагностики было принято решение о проведении ортодонтического лечения с помощью лигатрурной брекет-системы и использованием ортодонтических минивинтов, чтобы переместить зубы в нужное положение. В процессе лечения механика немного корректировалась для того, чтобы выстроить центральные линии зубных рядов.
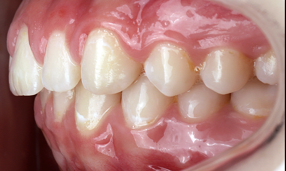
Общий срок лечения составил 16 месяцев. На последних фото после лечения можно увидеть отсроченный результат спустя 6 месяцев после снятия аппаратуры.














