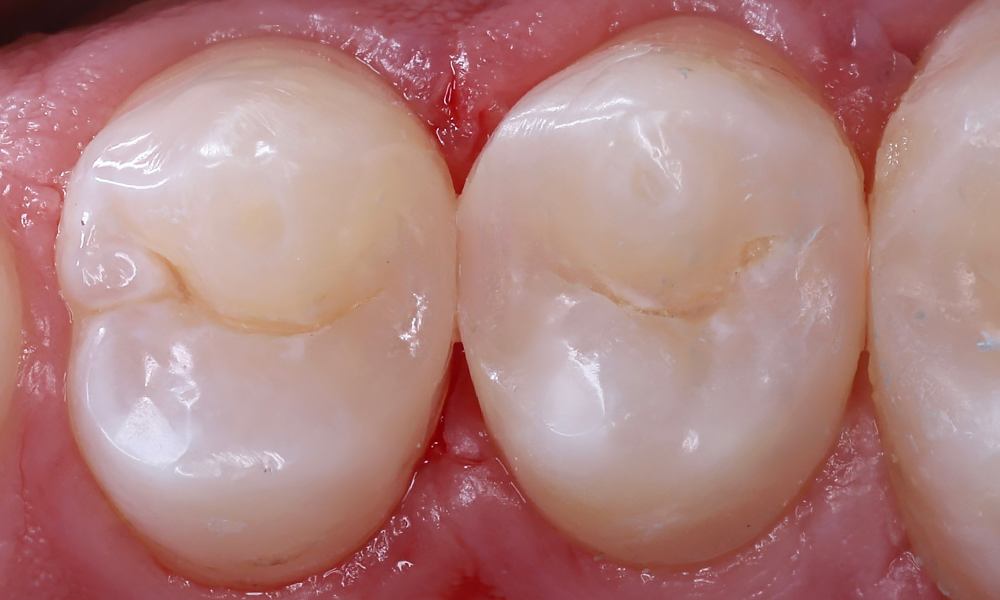
Лечение кариеса зубов 14,15


Пациент обратился в клинику с жалобами на застревание пищи в межзубном промежутке между зубами 14 и 15, а также на кратковременные болевые ощущения при употреблении сладкого в области этих зубов.
Во время клинического осмотра и анализа рентгенологического исследования (КЛКТ) стоматолог выявила кариозные полости в зубах 14, 15.
Этапы лечения пациента:
- обезболивание;
- изоляция рабочего поля системой коффердам;
- очистка зуба щеточкой с пастой;
- препарирование пораженных тканей;
- восстановление контактного пункта с помощью матричной системы;
- проведение адгезивного протокола;
- эстетическая реставрация.
Лечение кариеса и замена несостоятельных реставраций в клинике проводится с использованием дентального микроскопа. Это позволяет врачу удалить только пораженные ткани и максимально сохранить здоровые ткани зуба.
