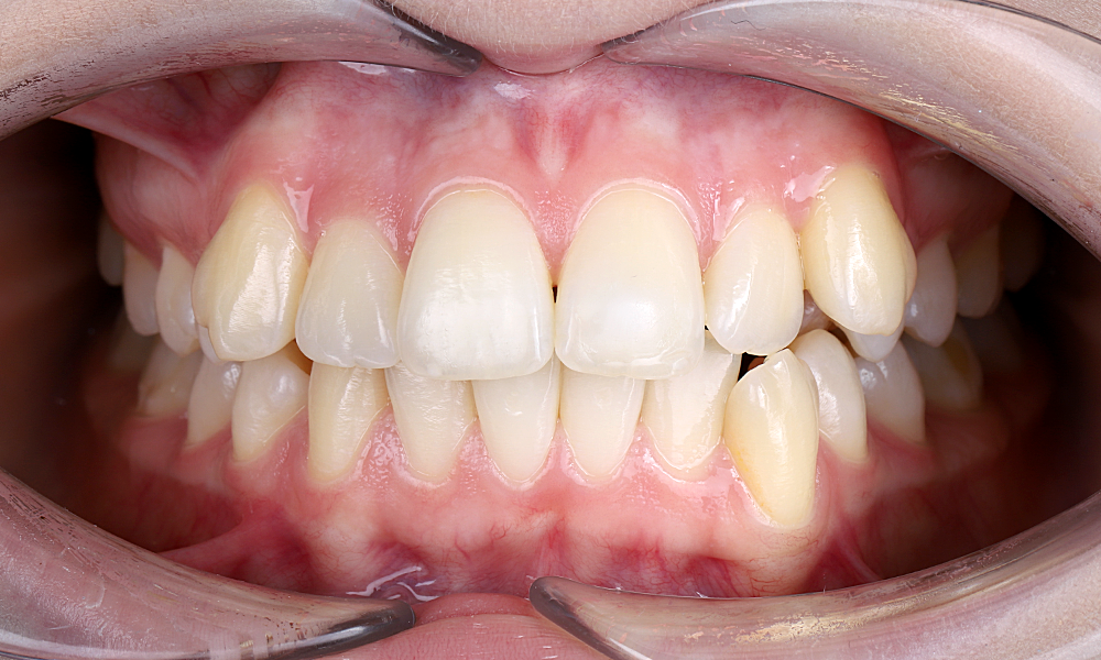
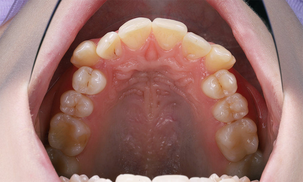
Ортодонтическое лечение укорочения зубных рядов
До
После
Клинический случай:
Ортодонтическое лечение укорочения зубных рядов, макродентии и дефицита места для клыков
Диагноз:
- Укорочение зубных рядов
- Выраженный дефицит пространства (>50% ширины коронки) для прорезывания клыков
- Макродентия
Проведена диагностика:
- Фотопротокол
- Цефалометрический анализ на ТРГ
- Анализ КЛКТ
Проведены следующие работы:
- Удаление 14, 24, 34, 44 премоляров
- Удаление 18, 28, 38, 48 третьих моляров
- Ортодонтическое лечение с нормализацией положения зубов и закрытием промежутков
- Ретенционный период

Результат:
- Достигнута нормализация окклюзии, полностью устранен дефицит места.
- Созданы условия для правильного функционирования зубочелюстной системы.
- Пациент получил ровные зубы, гармоничную улыбку и здоровый прикус!




