Тотальная реконструкция улыбки
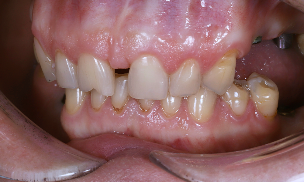
До
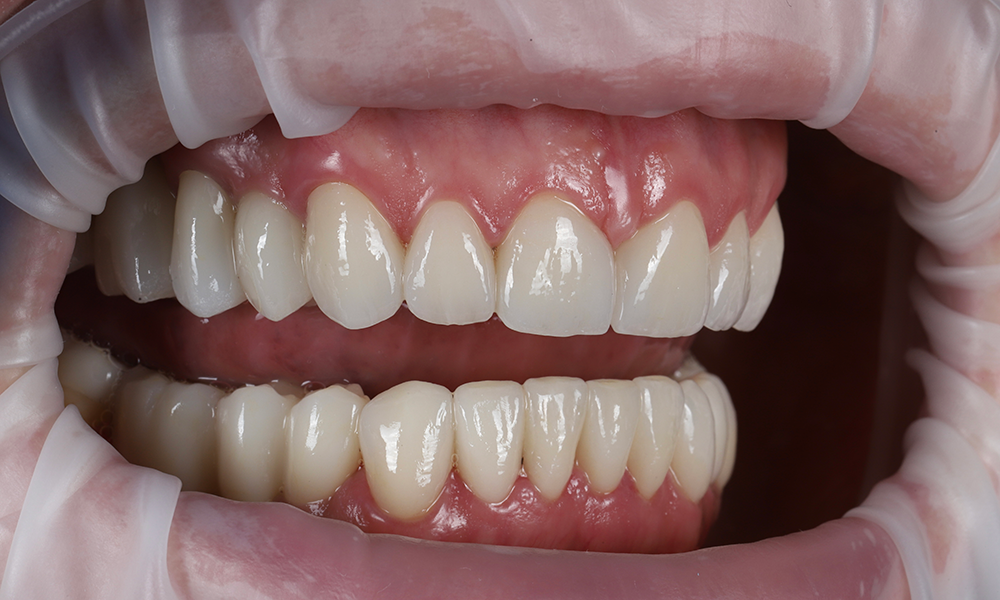
После
Какая ситуация была изначально?
- У пациентки отсутствовали боковые зубы.
- Была выраженная диастема — заметный промежуток между передними резцами.
- Стираемость зубов.
Пациентка хотела не просто «красивые зубы», а гармоничную улыбку, комфорт при жевании и уверенность в себе.
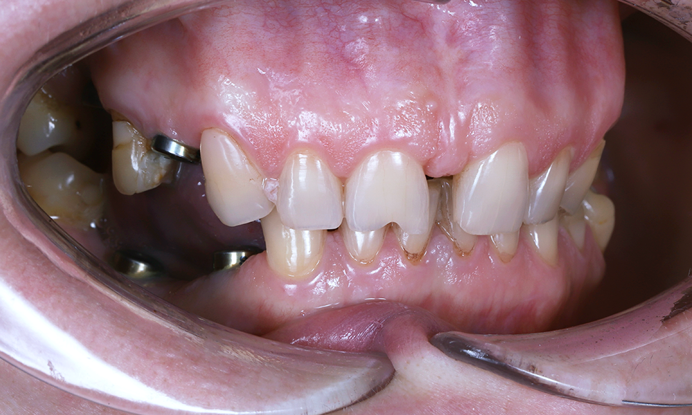
Что сделала команда врачей:
- Провели подробный осмотр, сбор анамнеза, анализ КЛКТ, диагностику мышц и ВНЧС— чтобы лечение было безопасным и прогнозируемым.
- Стоматолог-терапевт выполнила полную санацию полости рта: лечение кариеса и пульпита.
- Изготовили каппу, а затем лечебную шину, для расслабления мышц и поиска оптимального положения нижней челюсти, для удобного жевания и оптимальной эстетики.
Это ключевой этап, без которого невозможно сделать долговечную и комфортную тотальную реконструкцию. Мы не просто меняем форму зубов — мы восстанавливаем правильную работу всей зубочелюстной системы. - Челюстно-лицевой хирург установил имплантаты и провёл пластику десны, чтобы десневые контуры были симметричными и эстетичными.
- Стоматолог-ортопед установил виниры и коронки на собственные зубы и имплантаты, завершив полную реконструкцию улыбки.
Результат
Улыбка пациентки — это итог большой командной работы.
Была проведена тотальная реконструкция с изменением положения и высоты челюстей, закрыты промежутки между зубами, исправлена десневая улыбка.
Теперь пациентка:
- свободно и красиво улыбается;
- комфортно пережёвывает пищу;
- чувствует уверенность и внутреннее спокойствие.








