Восстановление улыбки с помощью скуловой имплантации и протезирования
Провели тотальное преображение улыбки нашей пациентке.
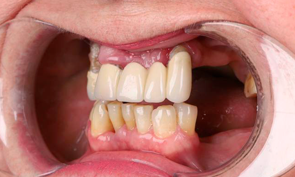
Какая была исходная ситуация?
- подвижность зубов;
- неудовлетворительная эстетика;
- зубы, которые уже не поддавались лечению и восстановлению;
- пациентка долгое время пользовалась съемным протезом, который доставлял неудобства.
После осмотра челюстно-лицевым хирургом и стоматологом-ортопедом и анализа КЛКТ стало понятно, что костной ткани для установки классических имплантатов недостаточно. Поэтому команда приняла решение установить 2 скуловых имплантата, а также 2 классических.
Реабилитация пациентки после имплантации длилась 10 дней. После этого пациентке установили несъемный временный протез, с которым она проходила 10 месяцев, пока имплантаты приживались.
За это время челюстно-лицевой хирург установил имплантаты в боковых отделах челюсти на месте отсутствующих зубов. На них были изготовлены циркониевые коронки.
Через 10 месяцев пациентке установили постоянный несъемный протез из диоксида циркония с армированием титановой балкой.
Красивая здоровая улыбка у пациентки. Возможность улыбаться, разговаривать, комфортно пережевывать пищу. Больше не нужно испытывать дискомфорт, который был со съемным протезом.
Работу выполнил стоматолог-ортопед Владимир Иванович Санкевич.






