Восстановление зуба после травмы
Травмы зубов у детей – частая история, ведь малыши активно играют, бегают и познают мир.
Падения, столкновения и даже обычные игры могут привести к сколам или повреждениям зубов.
Самое важное в такой ситуации – не паниковать и постараться найти отломки зуба.
Если их сохранить и вовремя обратиться к стоматологу, есть шанс аккуратно «приклеить» фрагмент обратно.
Это позволяет максимально сохранить естественный вид зуба.
Если же отломки утеряны, современная стоматология предлагает качественную реставрацию.
Поэтому если вдруг произошла травма зуба, это поправимо.
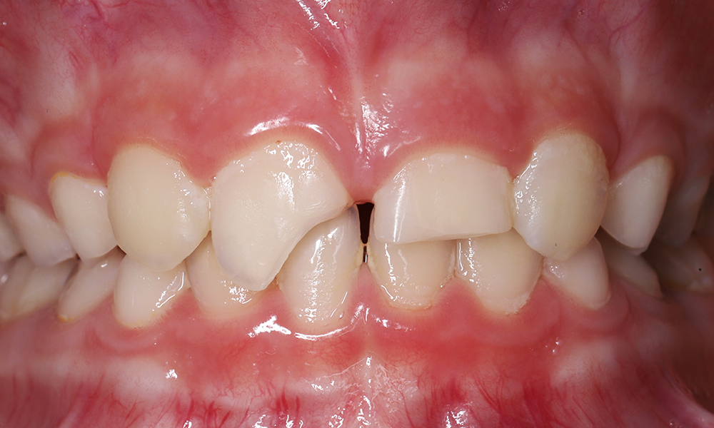
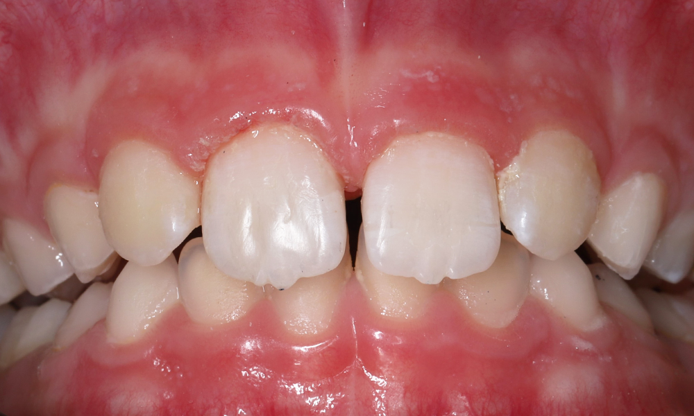
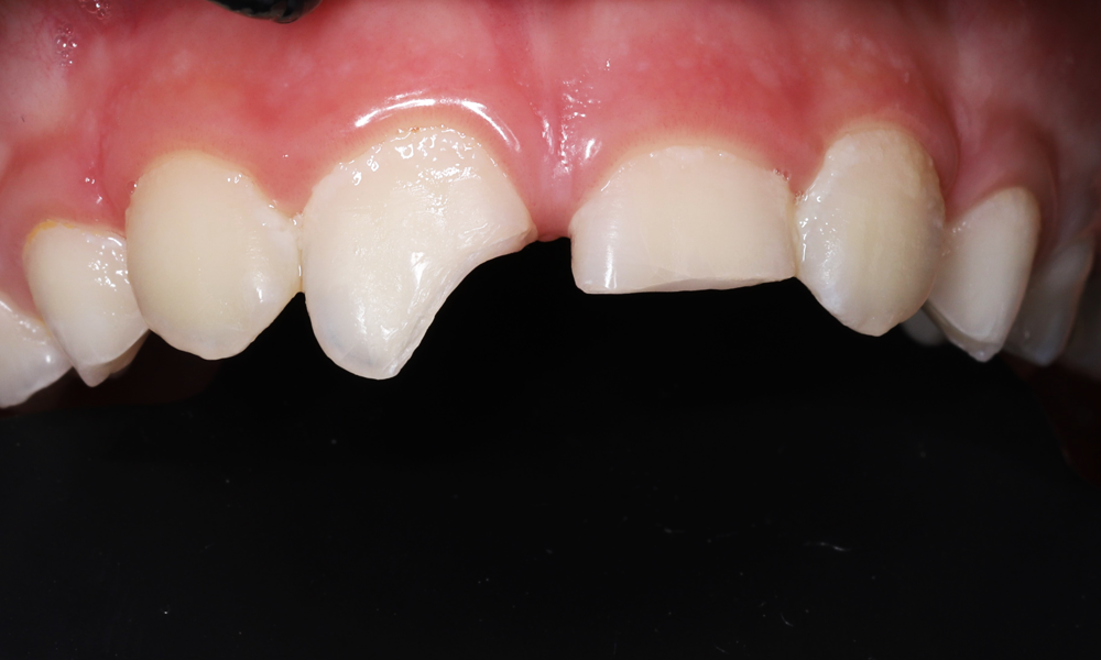
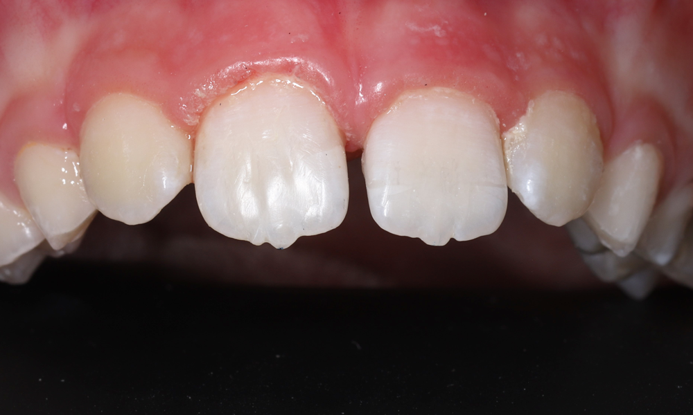
В этом кейсе два передних резца сломались у ребенка 9 лет. Папа мальчика сохранил отломки и стоматолог смог ими восстановить зубы. Лечение проводилось во сне под микроскопом.






